Thursday, February 21, 2019

Sensitizing Dormant Tumor Cells to Chemotherapy - Cancer Currents Blog

National Cancer Institute

Having trouble viewing this email? View it as a Web page.

Bookmark and Share

You are subscribed to Cancer Currents: An NCI Cancer Research Blog from the National Cancer Institute. Recent posts are listed below.

 

 

02/20/2019

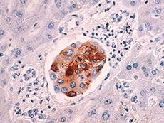
A new study in mice shows that disrupting the relationship between breast cancer cells that spread to bone and normal cells surrounding them makes the cancer cells sensitive to treatment.

This email was sent to myhcistech.healthnews360@blogger.com using GovDelivery Communications Cloud on behalf of: National Cancer Institute · BG 9609 MSC 9760 · 9609 Medical Center Drive · Bethesda, MD 20892 GovDelivery logo

No comments:

Post a Comment